联系方式:
0531-8895 6555
153 0640 8888(微信)
看到智齿,大家首先想到一个词:Money!拔「一颗智齿」到底要多少钱?只是去拔个智齿,为什么收费那么贵呀?
其实,一般来说这种涉及到收费的问题很难回答,因为嘛……不同智齿长得不一样,从青铜、白银、黄金、铂金……到王者,拔起来的难度越来越大,自然价格就差别太太太太太太大了。

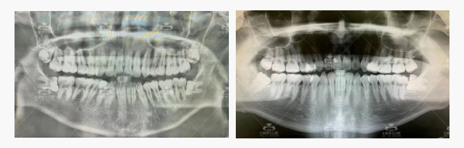
先来欣赏士嘉博士口腔医院患者口腔全景X片:

震惊!
大家看着X片里那些还没来得及拔掉的智齿,有没有人会觉得简直「负债累累」!
根据大多数公立医院和牙科诊所机构而言,拔一颗智齿2000 块以下的收费还是相对靠谱,3000 往上稍稍有点不符合常理。
但是,3000+拔一颗牙的情况是否真的不合理呢?
存在,即合理!
比如难度特别大的,需要住院全身麻醉手术的、术后出现严重并发症的病例,需要手艺高超医生才能操作,以及拔牙时需要用上各种麻醉、镇静和高精尖仪器的,难说收不到 3000 一个牙。
拔牙分三步
每一步都不简单
拔过牙的人仿佛觉得拔牙很简单,三步搞定:

看图,很简单呀,似乎是很有道理,我竟无言以对!
但实际上呢 ——
➊ 拔牙第一步:麻醉,并不是一针了事
牙医要根据拔除不同的位置牙齿采用不同的打法:简单的松动牙,可能就在牙龈上轻轻打一针就有很好的效果;但如果涉及到非常牢固的智齿,尤其是长歪的「阻生智齿」,往往需要更给力的「神经阻滞麻醉」。
➋ 拔牙第二步:牙,不仅仅是拔出来的
对于少数的智齿,拔牙或许可以用「拔牙」两个字来总结。
但对于更多的长歪的智齿来说,拔牙可不仅仅是「拔」的本意,更可能是「磨」牙、「挺」牙、「劈」牙、「敲」牙……
比如这种:

这可怎么拔出来?
emmm……具体操作过程就不详述了,在士嘉博士口腔医院拔智齿,只需要美美的睡一觉,醒来智齿就不见了。
舒适拔除后:

还有更多难度更大的阻生齿拔除比如近中阻生智齿、低位阻生(牙根靠近下牙槽神经管)的智齿,甚至需要更专业的医生和更高超的技术,搭配先进仪器,才能将智齿「拔出来」。

于是价格也就比拔普通牙齿连翻三四倍甚至接近十倍蹭蹭蹭涨上去了!!
除了「钱」这个关键字眼,想必很多人又看到了:「磨」、「挺」、「劈」、「敲」……光看到这些恐怖行为,就会瑟瑟发抖,所以拔智齿真的很痛吗?
NO!
早在1992年,国外就提出了「舒适化诊疗的理念」,士嘉博士口腔医院作为二级口腔专科医院,更是大力倡导舒适化的诊疗理念及人文关怀,治疗过程中,医生操作轻柔、注重治疗时的沟通,让患者在舒适的环境下完成牙齿治疗,消除患者对于就医的恐惧,提高了舒适体验,减少了患者就医的紧张、恐惧等不良情绪,就像做无痛胃镜一样,美美的睡上一觉 ,就完成了智齿的拔除。
➌ 拔牙第三步:拔完并不是结束
牙是顺利拔了下来,这时候如果创伤很小,没错塞个棉球咬紧牙关很快就能止血。
但是要是遇到创伤大的,咬棉花可不管用,还需要医生对伤口进行缝合、止血。有的人还需要挂盐水消炎抗感染……
拔牙拔好,过三四天……怎么突然又开始「牙」痛了!吃个止痛药试试?没用!仔细闻居然有一股难闻的恶臭?
非常抱歉,很可能你是出现了「干槽症」的并发症。这时候靠吃药、靠熬可能都不是最好的方法,只有找到拔牙的医生对于手术创口进行再次清创处置,疼痛才会得到控制。
虽说拔牙只要「三步」,但每一步操作都是白花花的银子啊!这每一分每一两银子都是医生、护士、拔牙设备开发者、甚至药剂师的辛勤劳动,值与不值一眼见分晓!
为什么要选择士嘉博士口腔医院:
01 严格的消毒流程
士嘉博士口腔执行国际化高端标准,严格实施“六个一”消毒隔离制度,真空消毒,无菌器械,采用专业消毒及空气净化消毒设备等,避免出现二次感染!
02 先进设备保障诊疗效果
士嘉博士口腔引进了德国卡瓦数字化诊疗设备,为拔牙治疗提供了有力的保障!

03 硕博专业医生团队
济南士嘉博士口腔医院拥有先进的诊疗理念和技术,医生团队由山东大学齐鲁医院口腔科主任医师、山东大学口腔医学院博士研究生导师张士杰教授领衔,团队医生都是口腔医学博士、硕士学历,都有多年在省部级三甲医院工作经历

04 舒适的诊疗环境
济南士嘉博士口腔医院环境温馨大气,为客户提供舒适的休息区域,独立划分的一对一VIP级治疗区、缤纷多彩儿童玩乐区、舒适雅致会客室,在这里做牙齿治疗也是一种享受

同样的牙齿拔除过程,因为士嘉博士口腔硕博团队医生的专业操作,顾客不会感觉到疼痛难忍,反而感觉像一场舒适的梦境之旅,睁开眼就已经完成了治疗,恢复口腔健康。