联系方式:
0531-8895 6555
153 0640 8888(微信)

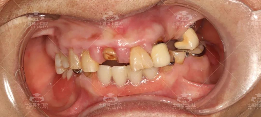
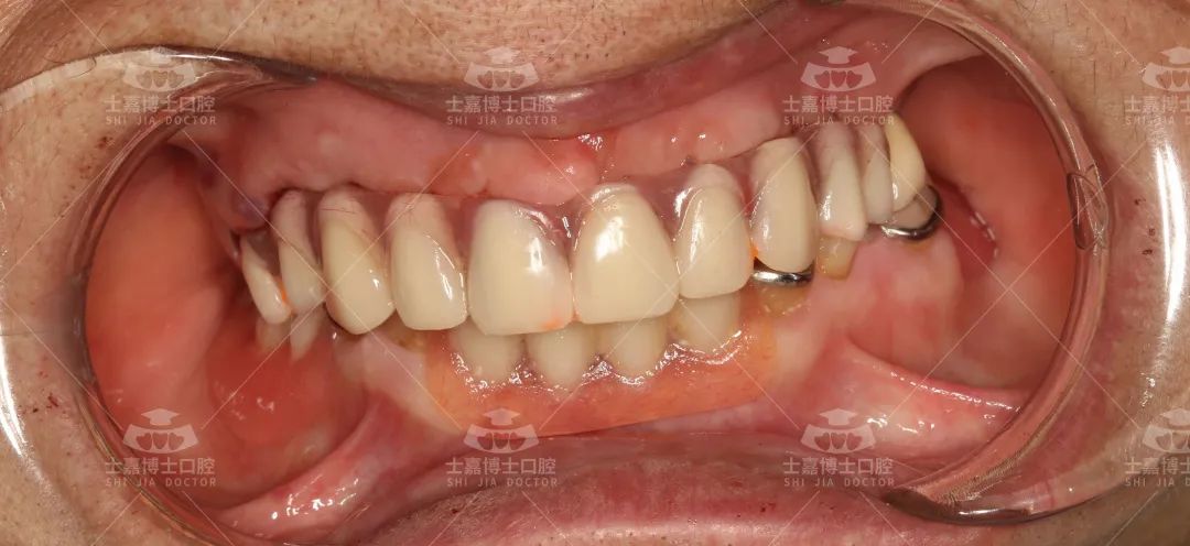
老掉牙并不是正常现象 2022.08.19 有的人到了老年,牙周组织萎缩、牙根暴露以致牙齿松动、脱落,出现“老掉牙”的现象。那么人老了,就一定要掉牙吗? 其实并非如此。恰恰相反,许多人到八九十岁,牙齿照样很好;而有些人四五十岁,还不到“老”就掉牙了,原因何在?医学研究表明,牙齿不是“老”掉的,而是牙周病所致。 舒适化种植前 何阿姨还没到花甲之年,能正常使用的牙齿剩下的就不多了了。最近,又有一颗牙齿的牙龈发炎,让她吃不好也睡不着。何阿姨去医院拔牙,医生建议她吃点药缓解一下病情,先不要把牙齿拔掉,但何阿姨却坚持拔掉。她认为,人老了,牙齿总会掉的,与其让牙齿自行脱落折磨自己,不如主动拔掉。 “老掉牙”是老年人口腔保健的一种错误观念,掉牙与年龄并不成正比,80岁拥有20颗牙齿不是梦。不少老年人牙齿的脱落或被拔除,是由于对牙病不重视所造成的。如果早期积极防治牙病,老年人也会有一口健康的牙齿。 牙齿掉了要及时种 2022.08.19 第二次全国口腔健康流行病学调查结果显示,在65~74岁的老年人中,65%的老年人有龋齿;超过99%的老年人的牙周组织不健康;老年人口腔中现有的牙齿数平均为18颗,而口腔中至少要有20颗功能牙才能保证咀嚼功能。 舒适化种植后 牙周病是牙齿功能丧失的主要原因。如果老年人不注意清洁口腔的话,食物的残渣留在牙齿上,引起牙龈发炎,不及时处理,会一直延伸下去,造成牙龈沟发炎、加深,引起牙槽和牙骨质间隙,形成牙周带,继续下去,牙槽骨被吸收,高度变低,牙齿就越来越松动,时间长了就会脱落。预防牙周病是防止牙齿脱落的关键因素。缺牙不及时去镶,是老人中较常见的通病。 舒适化种植理念 如果老年人的牙齿脱落不及时镶牙,会引起两边的牙齿外倒,牙间隙增大,引起牙周炎,其他牙齿也会松动。 但是由于老人多数年龄较大,对于牙齿种植手术都存在着担忧心理。士嘉博士口腔医院作为第一家舒适化理念治疗的医院,倡导舒适化睡眠牙齿种植治疗,对于患有心脑血管病、高血压及牙科恐惧症患者而言是非常好的就诊选择,就像无痛胃镜一样,让您在无痛舒适化睡眠中完成所有口腔治疗。 士嘉博士口腔医院引进了德国卡瓦牙科综合治疗椅、德国卡瓦3D数字化影像设备、德国3D瓷睿刻数字化牙椅旁修复系统、德国3D打印数字化种植导板系统、瑞士美国德国韩国等世界品牌种植系统等 能够提供当天就诊、当天戴牙,大大缩短了患者的等待时间。个性化服务更好,义齿生产质量更精密,还能快速解决临床戴牙所遇到的问题,效率高、客户满意度大大提高 保持口腔洁净 有利牙齿健康 2022.08.19 老年人应加强口腔保健,做到饭后、睡前刷牙,及时清除牙面、牙缝中的菌斑和食物残渣;要用保健牙刷正确刷牙,即采用上牙向下剔刷、下牙向上剔刷的竖刷法。 定期洗牙对老人来说也很重要。日本的一位口腔专家提出,老年人最好半年定期洗一次牙。因为,随着老年人全身组织器官的衰老,唾液分泌量减少,对口腔的自洁作用就减弱了。洗牙能够清洁刷牙时刷不到的部位,彻底清除牙菌斑、牙结石等。 此外,老年人定期进行口腔检查很有必要。老年人至少应该每年做一次口腔检查。龋齿和牙周病在早期没有明显的自觉症状,只有定期进行口腔检查才能做到早发现、早治疗 昨天8.19日,是专属医务人员的节日 中国医师节是经国务院同意设立的卫生与健康工作者的节日,体现了党和国家对1100多万卫生与健康工作者的关怀和肯定。 在这边再次祝所有医护人员节日快乐~





