联系方式:
0531-8895 6555
153 0640 8888(微信)
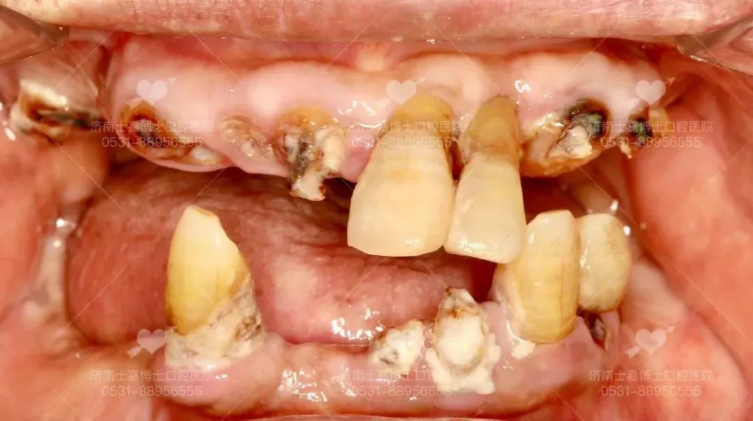
舒适化牙齿种植 告别口腔恐惧 随着人们生活水平提高,口腔健康越来越受到人们的重视,定期进行牙周保健的人群数量也在不断增长。然而,却有那么一群人,因为个人体质的原因,口腔非常敏感,咽反射严重,当口腔受到外界一丁点刺激,就会不停干呕,别说治疗了,就连普通的洁牙都无法配合医生,他们对口腔诊疗有着深深的恐惧感和特殊的需求。 济南士嘉博士口腔医院是济南卫健委审批的二级专科口腔医院,主要开展口腔种植、牙齿畸形矫正、无痛牙齿治疗、牙齿美容美白、牙周治疗、儿童牙齿及颜面部健康管理等项目,是省内首家舒适化诊疗理念的二级专科医院,舒适化儿童补牙治疗、舒适化智齿拔除治疗以及舒适化牙齿种植治疗,对于患有心脑血管病、高血压及牙科恐惧症患者而言是非常好的就诊选择,就像无痛胃镜一样,让您在无痛舒适化睡眠中完成所有口腔治疗。 给父亲的最好礼物 士嘉博士口腔医院在父亲节当天接待了这样一位患者,77岁的老先生,随着年龄不断增长,嘴里牙齿多年来一直不好,老人身体状况不是很好,有心衰,有过脑梗,本来不想接诊治疗,但是孩子的孝顺以及老人的痛苦,也确实让人心疼 父亲节当天,在儿子坚持下,决定先看一看 来到士嘉博士口腔后,经过齐鲁医院心内科及神经科会诊后,得出结论:目前老人现在情况稳定,可以耐受手术 于是,士嘉博士口腔医疗团队带头人张士杰教授和种植团队高万郝主任热情地接待了他,经检查发现: 老人种植前牙齿状况 老先生的牙齿虽然还有几颗牙齿,但上下不对称、以及残根坏牙,已经失去了正常的咀嚼功能,需要对残根坏牙和几颗牙齿进行拔除,进行即刻拔牙即刻修复即刻种植,做全口种植的治疗



专业种植硕博团队 因为老先生之前得过脑梗和心衰,根据对老先生口腔和身体评估情况,张士杰教授以及高万郝主任的团队拟定了适合老先生的舒适化种植方案。 张士杰,山东大学口腔医学院博士研究生导师、教授、博士后,山东大学齐鲁医院口腔正畸科主任、主任医师。中华医学会口腔正畸专业委员会委员,中华医学会整形美容牙颌颜面美容分会常委,世界正畸联盟WFO会员。 擅长:成人及青少年各类牙齿畸形的矫正治疗,隐形矫正(山东省首批美国隐适美隐形矫正认证专家),在诊疗牙齿前突、开唇露齿、地包天、唇腭裂等正畸正颌联合手术治疗方面尤其突出,尤其擅长复杂牙列缺失的种植修复和咬合重建治疗。 高万郝,主治医师,山东大学口腔医学硕士,北京大学口腔医学院进修 擅长:各类牙齿种植、智齿拔除等口腔手术,熟练掌握多套国际先进的种植系统有多年口腔种植临床经验,尤其擅长复杂病例的咬合重建 口腔舒适化治疗特别适用于以下人群: -牙科恐惧症患者 -心脑血管意外潜在风险人群(如高血压、合并高血压患者、高龄人士等) -咽反射敏感者 -不配合治疗的儿童 -外伤、小儿舌系带过短等需要手术的人 -需行复杂拔牙、颌面外科小手术的人 -抑郁症、自闭症等身心障碍人群 -对医疗舒适度高要求的人等 经过详细、充分的沟通,老先生和儿子非常乐意的接受了该方案

舒适化牙齿种植中 士嘉博士口腔医院引进了德国卡瓦牙科综合治疗椅、德国卡瓦3D数字化影像设备、德国3D瓷睿刻数字化牙椅旁修复系统、德国3D打印数字化种植导板系统、瑞士美国德国韩国等世界品牌种植系统等 能够提供当天就诊、当天戴牙,大大缩短了患者的等待时间。个性化服务更好,义齿生产质量更精密,还能快速解决临床戴牙所遇到的问题,效率高、客户满意度大大提高



舒适化牙齿种植后 老人种植后牙齿状况 口腔X光片 术后的老先生很快恢复了意识,仍处在观察期的他已经迫不及待吃上肉包子,由衷的感叹:太好了~


,时长
随着人们生活水平的提高以及医疗模式的改变,如今患者不光考虑治疗牙病问题,更注重体验舒适地治疗过程,士嘉博士口腔“舒适化诊疗理念”正是在这样的背景下建立的。 在口腔舒适化治疗中无论是种植、拔牙、补牙、洁牙等各类治疗,几乎都可以选择口腔舒适化治疗,口腔舒适化治疗涵盖了口腔外科、儿牙科、种植科、牙体牙髓科、牙周科等口腔领域的各个专科。